воскресенье, 10 февраля 2013 г.

что показывает рентген пяточной кости

или , чтобы получить возможность отправлять комментарии

Только здесь непохоже (но все равно хочется поделиться, раз в кои-то веки удалось взглянуть на пятку).

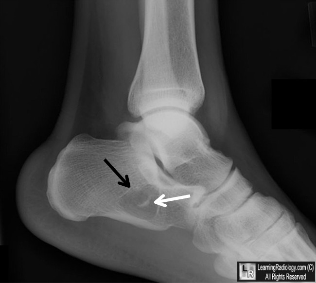
А в пяточной кости еще липомы бывают большие.

Опубликовано IT в 2011, Август 13 - 11:51. 

или , чтобы получить возможность отправлять комментарии

 Остеолитическое образование. Эозинофильная гранулема/киста?

Опубликовано ALLA в 2011, Август 13 - 11:01. 

или , чтобы получить возможность отправлять комментарии

Девочка, 10 лет. Жалобы на боли в пятке.

Опубликовано Ola-la в 2011, Август 13 - 10:53

13.08.2011 Рентгенография пяточной кости. Киста пяточной кости.

СКОРО! АТРИБУТИКА.

НАЖИМАЕМ НА КНОПКУ!

РАДИОЛОГИЧЕСКАЯ БИБЛИОТЕКА

Имя пользователя: *

13.08.2011 Рентгенография пяточной кости. Киста пяточной кости. | radiographia.ru

Комментариев нет:

Отправить комментарий